März 2026
Pino, inzwischen acht Monate, hat seinen ersten Klinik-Besuch hinter sich. Seine linke Pfote wurde geröntgt um zu sehen, wie weit sich die Wachstumsfugen geschlossen haben. Insgesamt wurde er beim Besuch noch mal gründlich untersucht und sein Gangbild angeschaut. Beim Sprung kann er insbesondere links keinerlei Gewicht abfangen und stürzt dabei auf die Schulter.
Das Ergebnis: die nächsten Schritte können eingeleitet werden, denn Pino ist nahezu ausgewachsen. Nun wird im April ein dreidimensionales CT folgen, um die genaue anatomische Struktur seiner Vorderbeinchen darzustellen. Es wird sehr entscheidend sein, zu sehen, ob die fehlende Knochenstruktur durch ausreichend vorhandene Bänder und Sehnen ausgeglichen wird, um eine natürliche Stabilität der Beinchen zu gewährleisten. Dies kann man auf Röntgenbildern nicht erkennen. Der behandelnde Chirurg möchte, wenn sich alles nach Plan darstellt, nur Pinos linkes Handgelenk in die richtige Position bringen und versteifen. Doch soweit ist es noch nicht.



Die Kosten für diese CT, auf deren Basis auch Implantate erstellt und angepasst werden können, werden ca 1.500 EURO betragen. Diese Untersuchung wird in Sedierung erfolgen, während dessen auch sein rechter Tränenkanal mit durchgespült werden soll.
Insgesamt rechnen wir hier mit 1.700 EURO Kosten für CT, Sedierung und Spülung des Tränen-Nasenkanals. Wir würden uns sehr freuen, wenn Sie Pino bei diesem so wichtigen nächsten Schritt in seinem Leben unterstützen könnten. Wir freuen uns über jeden noch so kleinen Betrag. Grazie di Cuore im Namen unseres kleinen Kämpfers!
Januar 2026
Pino, unser kleiner Sonnenschein, ist im Januar auf eine liebe Pflegestelle im Raum München gezogen und lebt sich gerade ein. Er ist ordentlich gewachsen und sehr verspielt. Seine Vorderpfoten können keine starken Sprünge abfangen, aber er benutzt sie ganz normal zum Spielen und momentan auch noch zum Laufen.



Seinen ersten Tierarzt Besuch hat er auch schon hinter sich. Hierbei ging es erstmal um seinen Allgemeinzustand, der sehr gut ist, und sein ständig laufendes rechtes Auge, Pino hat eine Verengung des Tränenkanals und dadurch eine chronische Reizung der Bindehaut und Lidränder.
Der nächste Schritt wird dann sein, ihn in der Klinik vorzustellen, die sich auf orthopädische Chirurgie spezialisiert hat und sich Pinos Röntgenbilder schon angesehen hat. Es geht darum einzuschätzen, was für Pino machbar ist, um ihm ein möglichst schmerzfreies Leben zu ermöglichen. Sollte Pino operiert werden können, dann werden diese Eingriffe einige Tausend Euro kosten.
Ganz herzlichen Dank an alle, die Pino bis hierhin unterstützt haben. Der süße Knopf hat es so sehr verdient, ein gutes Leben zu haben und er ist wirklich ein kleiner Kämpfer.
21.12.2025
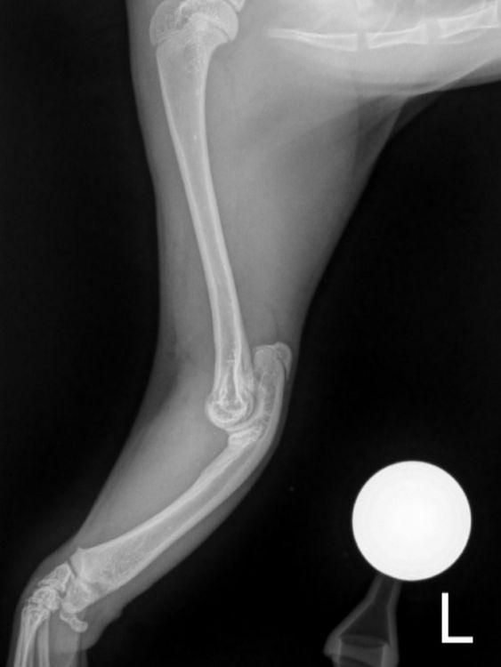
Vor drei Tagen bekamen wir die ersehnten Untersuchungsergebnisse für Pino. Seine Vorderbeine wurden in mehreren Schichten geröntgt und das Ergebnis muss man erstmal verdauen.
Es war sehr stark zu erwarten, dass es sich um eine angeborene Anomalie handelt. Und dies ist auch so. Pinos „Speichenknochen“ (Radius) fehlen auf der linken Seite ganz, auf der rechten Seite ist er unterentwickelt. Das führt dazu das seine Füßchen mit den Ellenbogen nicht stabil verwachsen sind und die Gelenke nicht festsitzen. Dadurch wachsen auch die Knochen nicht entsprechend und haben krankhafte Veränderungen. Der kleine Mann wird seine Vorderbeine nie richtig belasten können, so wie es im Moment aussieht. Ein normales Katzenleben in Freiheit ist für ihn in diesem Zustand unmöglich. Gott sei Dank zeigen sich aber keine andere Anomalien in seiner Anatomie.



Sofort nach der Diagnose haben wir begonnen uns in Spezialkliniken in Deutschland umzuhören, um einen fachmännischen Rat zu bekommen. Wenn Pinos Wachstum abgeschlossen ist, gibt es chirurgische Möglichkeiten, Fuß- und Ellenbogen Gelenke zu stabilisieren. Dies ist aufwändig und nur von Spezialisten durchführbar.
Herzlichen Dank, dass Sie die ersten Untersuchungsschritte für Pino finanziell unterstützt haben.
Der kleine Pino wurde Ende Oktober von einer Vereinskollegin auf einem Campingplatz „eingesammelt“ und in die L.I.D.A. gebracht. Viele liebe Menschen hatten sich um Pino auf dem Platz gekümmert, ihn gefüttert und ihn vor den aufdringlichen Katzen geschützt, die dem behinderten Kätzchen das Leben sehr schwer machten. Pino hätte den Winter dort nicht überlebt,



Möchten Sie auch ein Schritt auf dem Weg in Pinos Zukunft werden? Dann freuen wir uns sehr, wenn Sie uns mit einem kleinen Betrag unterstützen könnten. Grazie di Cuore!

















